Михаил Охлопков напомнил мужчинам в Карелии о важности обследования здоровья

Михаил Охлопков напомнил мужчинам в Карелии о важности обследования здоровья

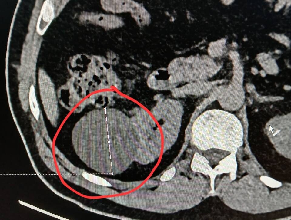
По словам главы Минздрава Карелии, частая находка на мужском чекапе — киста почки. Оь этом он сообщил в своем телеграм-канале.

«Киста почки при компьютерной томографии визуализируется как объёмное жидкостное образование округлой формы с чёткими ровными контурами. Ключевым диагностическим критерием является характеристика её содержимого и поведение при контрастном усилении», — рассказал Михаил Охлопков.

Сложные кисты требуют, по его словам, особого внимания. Наличие перегородок, утолщение стенок, кальцинаты могут привести к онкологии. Поэтому такие кисты могут потребовать хирургического вмешательства.

Обследования проводят на базе Республиканского противотуберкулёзного диспансера совместно с Городской поликлиникой № 2. Чекап мужского здоровья делают за один день, каждое воскресенье. Мужчины могут проконсультироваться у терапевта, офтальмолога, онколога, пульмонолога, эндокринолога, кардиолога, хирурга, уролога, медицинского психолога и пройти ряд лабораторных и инструментальных диагностических исследований.

Самое читаемое

Наш сайт использует файлы cookies, чтобы улучшить работу и повысить эффективность сайта. Продолжая работу с сайтом, вы соглашаетесь с использованием нами cookies и политикой конфиденциальности.

Принять